Un bărbat în vârstă de 53 de ani, din Avrămeni – Botoșani, a ajuns duminică noapte la Spitalul Județean Suceava, cu un cuțit înfipt în spate, după ce a fost agresat în timp ce se afla în satul Clit, comuna Arbore, la domiciliul concubinei sale.
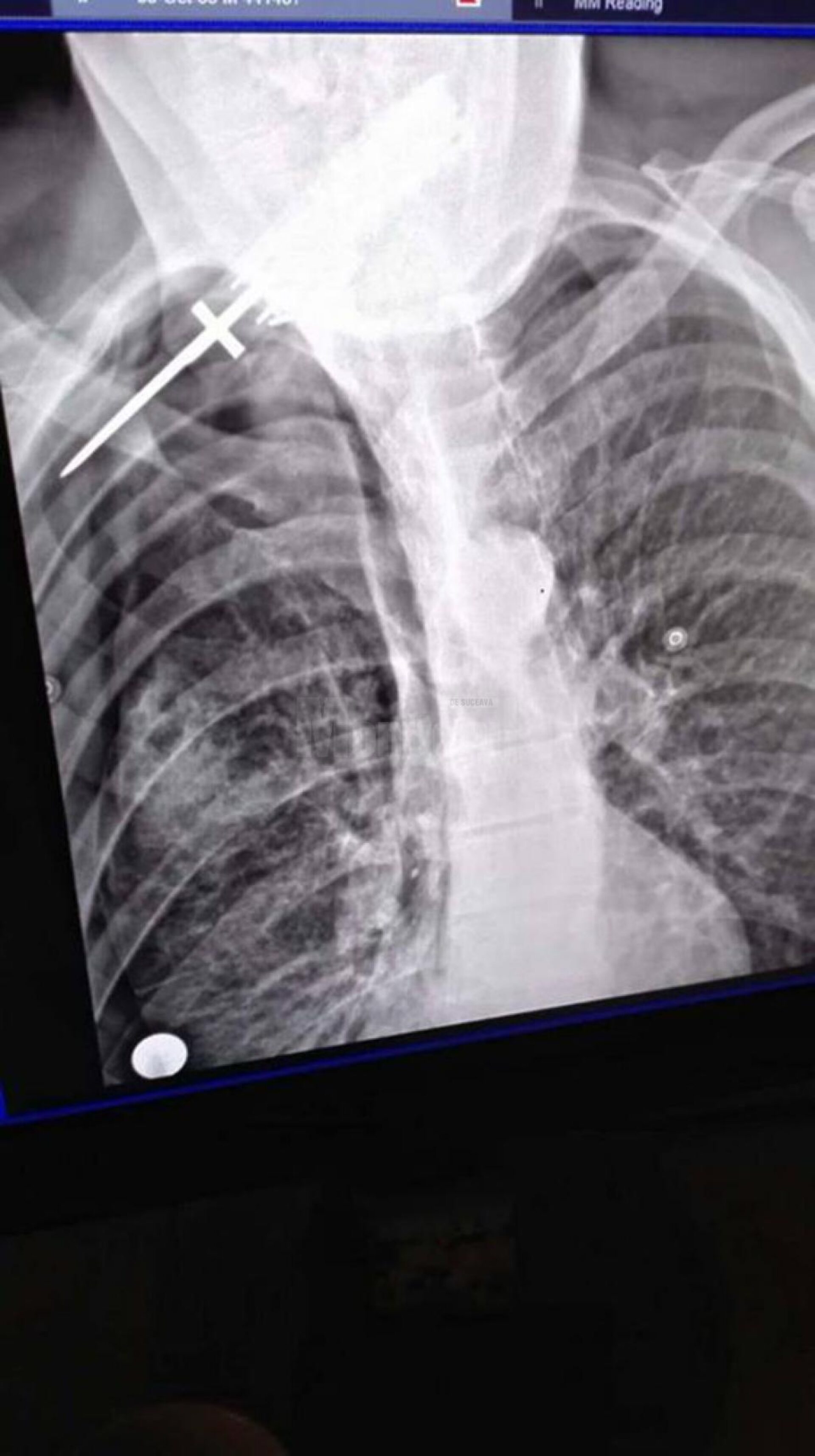
Pe 11 iunie, în jurul orei 23.45, Postul de Poliție Arbore a fost sesizat prin 112 de o femeie, Luminița C., din Clit, că Neculai F., de 53 de ani, concubinul ei, a fost înjunghiat. Bărbatul a fost transportat la Spitalul Județean Suceava, unde a fost diagnosticat cu plagă înjunghiată hemitorace dorsală, cu retenție de corp străin – cuțit.
În urma anchetei demarate de polițiști rezultă că bărbatul se afla în casă cu femeia și a fost strigat de un bărbat să iasă până afară. Când s-a apropiat de poartă, bărbatul a fost înjunghiat în spate cu cuțitul.
Medicii de la Spitalul Județean Suceava au constatat că pacientul era stabil hemodinamic și respirator. El a fost operat de urgență, pentru pneumotorax traumatic și pentru extragerea corpului străin.
Cel puțin în primă fază, victima a declarat că nu a recunoscut după voce persoana care l-a strigat și nici nu i-a reținut semnalmentele.
Polițiștii au deschis dosar penal sub aspectul săvârșirii infracțiunii de loviri sau alte violențe, însă încadrarea exactă a faptei urmează a se face după examinarea medico-legală a victimei. Dacă se va considera că agresiunea a urmărit suprimarea vieții victimei, încadrarea faptei ar putea fi schimbată în tentativă de omor.






