Judiciariștii Serviciului de Investigații Criminale al Poliției, împreună cu procurorul criminalist de caz de la Parchetul de pe lângă Tribunalul Suceava, au lămurit cazul de agresiune din data de 11 iunie, când un bărbat în vârstă de 53 de ani a fost înjunghiat în spate cu un cuțit, la Arbore, suferind leziuni grave. Ancheta din acest caz a fost atipică, în condițiile în care bărbatul înjunghiat a declarat că a fost atacat de un necunoscut, fără a dori să ofere alte detalii. La ora agresiunii, bărbatul se afla în casa concubinei sale, o femeie din Arbore, care a declarat și ea că nu știe cine l-a înjunghiat. Chiar ea este cea pusă sub acuzare pentru faptă. Femeia a fost reținută în arestul poliției județene miercuri și în aceeași zi și arestată preventiv de judecători.
Luminița Covaci, în vârstă de 45 de ani, din Arbore, va răspunde pentru săvârșirea tentativei la infracțiunea de violență în familie, sau, mai pe înțelesul tuturor, tentativă de omor.
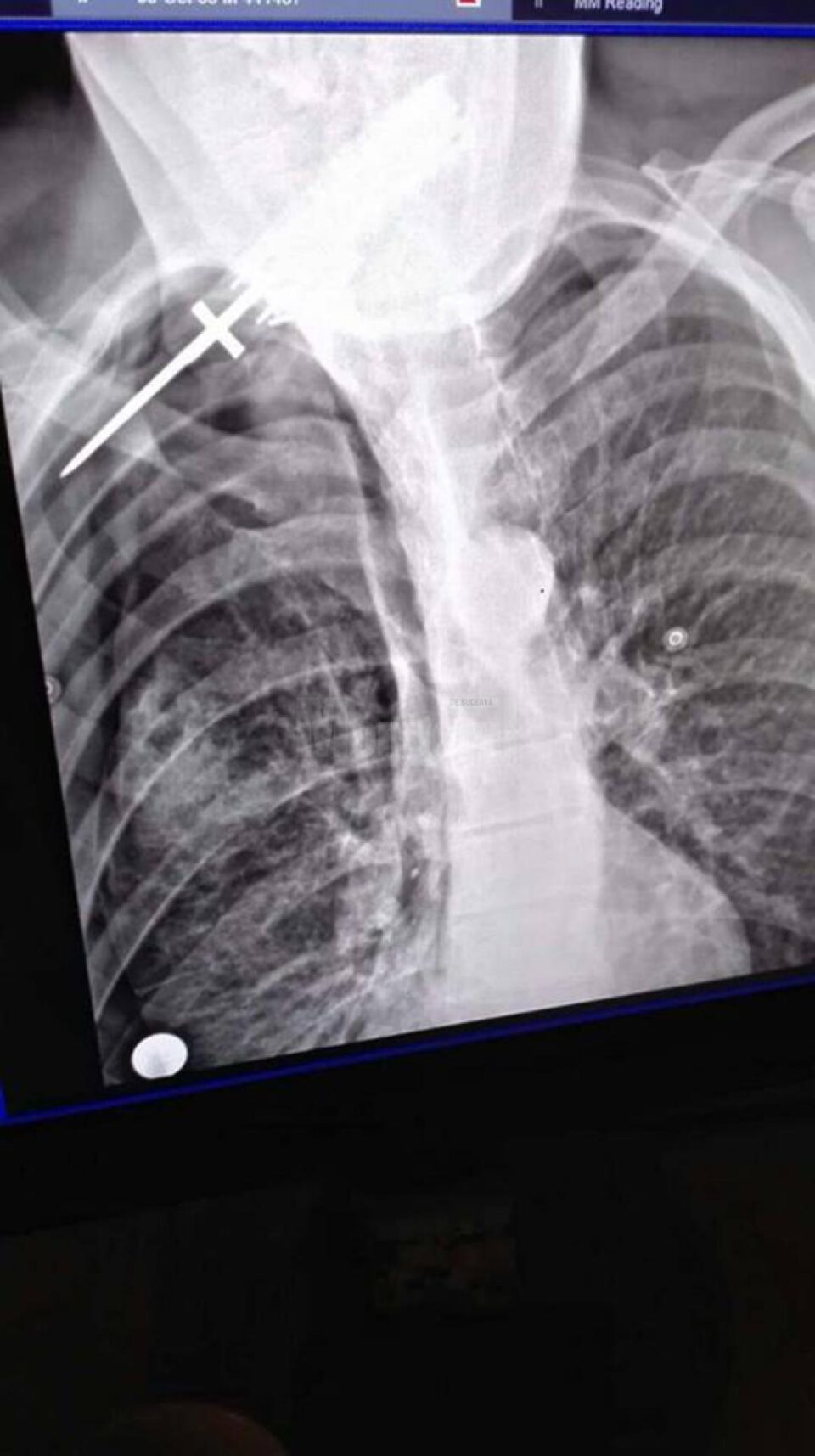
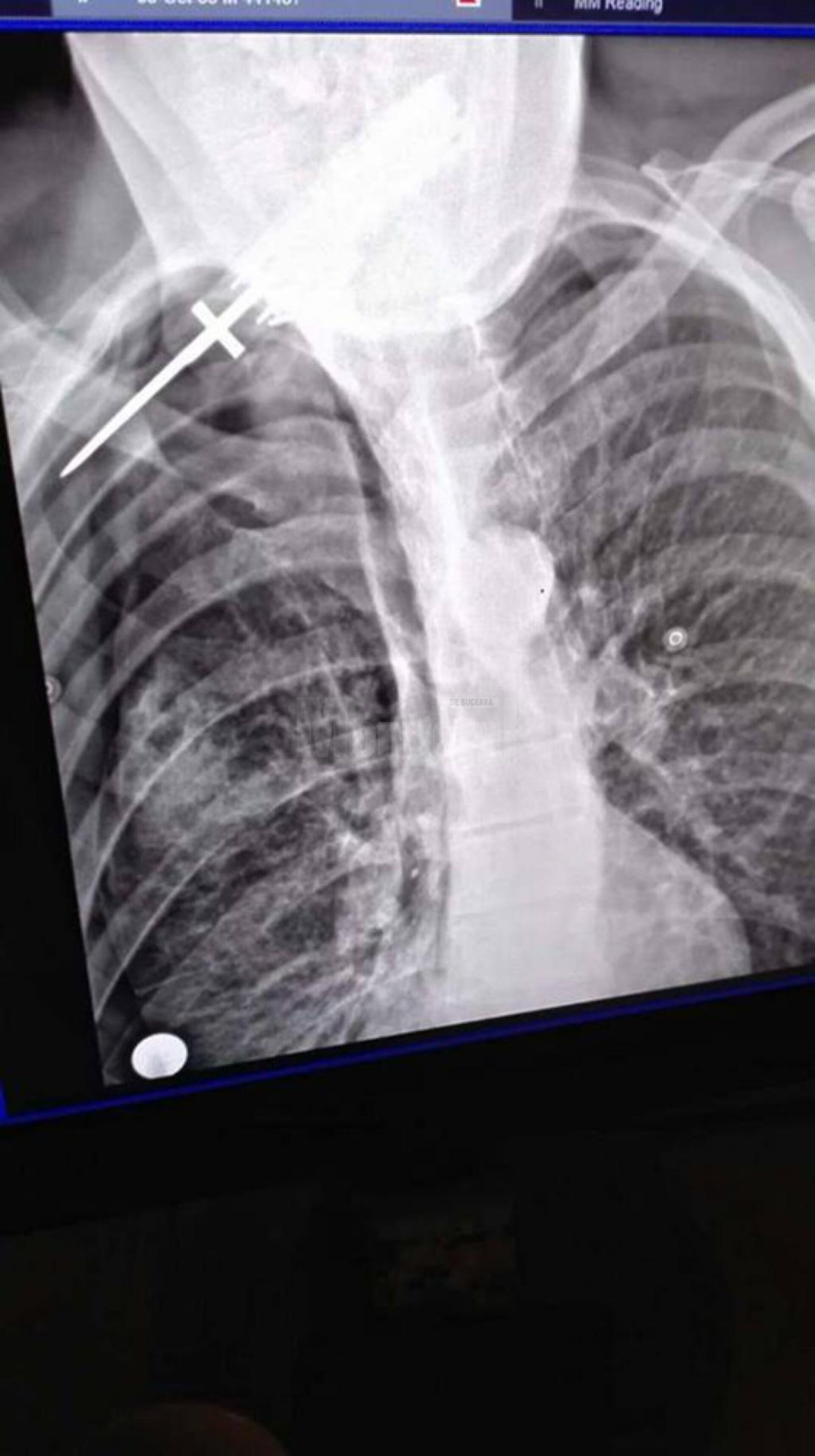
A ajuns la spital cu cuțitul în spate
Pe 11 iunie, în jurul orei 23.45, Postul de Poliție Arbore a fost sesizat prin 112 de Luminița Covaci, din satul Clit, comuna Arbore, care a anunțat că Neculai F., de 53 de ani, concubinul ei, a fost înjunghiat. Bărbatul a fost transportat la Spitalul Județean Suceava, unde a fost diagnosticat cu plagă înjunghiată hemitorace dorsală, cu retenție de corp străin – cuțit. Practic, bărbatul a ajuns la spital cu cuțitul în spate. El a fost operat de urgență, pentru pneumotorax traumatic și pentru extragerea corpului străin.
Varianta celor doi concubini, care nu a ținut în fața anchetatorilor
Varianta celor doi concubini a fost că cineva l-a strigat la poartă pe bărbat, acesta s-a dus să vadă cine e, iar când s-a apropiat, o persoană necunoscută i-a înfipt cuțitul în spate și a fugit.
„Din verificările efectuate de polițiști s-a stabilit că între cei doi concubini există o stare conflictuală mai veche pe fondul neînțelegerilor și al consumului de băuturi alcoolice. În urma efectuării investigării tehnico-științifice a locului faptei nu au fost identificate elemente care să susțină declarațiile victimei, respectiv faptul că ar fi fost înjunghiat de o persoană necunoscută”, se arată într-un comunicat al Inspectoratului de Poliție Județean (IPJ) Suceava.
Consumul de alcool, cauza agresiunii
După mai bine de o săptămână de anchetă, polițiștii și procurorul de caz au stabilit următoarele:
„Din cercetările efectuate până în acest moment a rezultat că în seara zilei de 11 iunie 2017, pe fondul consumul de alcool, inculpata Covaci Luminița și persoana vătămată au avut o altercație verbală. Inculpata Covaci Luminița l-a înjunghiat pe concubinul său cu un cuțit în zona dorsală, iar după puțin timp a apelat Dispeceratul de urgențe 112 afirmând că o persoană necunoscută l-a înjunghiat pe acesta în timp ce se afla la poarta dinspre drum a locuinței lor”, se arată într-un comunicat al Parchetului de pe lângă Tribunalul Suceava.
Bărbatul înjunghiat a fost diagnosticat cu leziuni care necesită 22-23 zile de îngrijiri medicale, medicul legist apreciind că nu i-a fost pusă viața în primejdie. Având în vedere modul în care a acționat femeia, lovitură de cuțit în zona organelor vitale, fapta a fost încadrată totuși la tentativă de omor.
Acum două zile, pe 21 iunie, femeia a fost pusă oficial sub acuzare și reținută în arestul IPJ Suceava. În aceeași zi, ea a fost prezentată în fața magistraților de la Tribunalul Suceava, care au admis propunerea procurorului de caz și au dispus arestarea ei preventivă pentru 30 de zile.






