O tehnică de evaluare a funcționalității și a oxigenării mușchiului inimii a fost utilizată pentru prima dată în regiunea Moldova, la Spitalul Județean de Urgență „Sf. Ioan cel Nou” din Suceava. Metoda, numită scintigrafie miocardică de perfuzie cu dispozitiv hibrid spect/ct, a fost utilizată în Laboratorul de Medicină Nucleară al spitalului pentru evaluarea inimii la doi pacienți, de către dr. Mihai Guțu – medic primar Medicina Nucleară, dr. Mihaela Guțu – medic specialist Medicina Nucleară, fizician medical Diana Teodorescu-Perijoc, asistenții principali Ramona Florea, Ioana Oanea, Loredana Murariu și Florentina Iletchi. La evaluarea celor două cazuri au participat și dr. Rusu Ramona – medic primar cardiolog și dr. Alexandra Ilisei, medic specialist cardiolog, din cadrul secției Cardiologie.
Purtătorul de cuvânt al spitalului, dr. Dan Teodorovici, a declarat că scintigrafia miocardică de perfuzie este o tehnică deosebit de utilă care aduce informații despre perfuzia miocardului deservit de artera coronară obstruată, vizualizată în prealabil angiografic, realizând astfel „o evaluare funcțională globală miocardică cu mare capacitate de prognostic pe termen scurt și lung”. De asemenea, expunerea la radiații în timpul scintigrafiei miocardice este mai mică decât în cazul examenului de angiografie coronariană – cateterism coronarian.
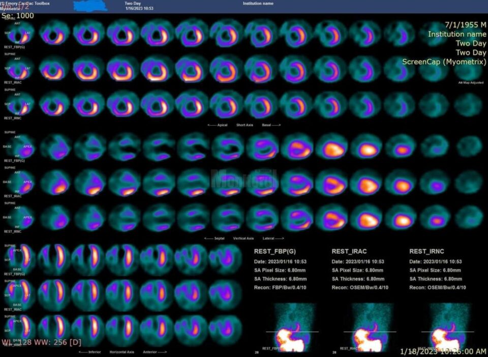
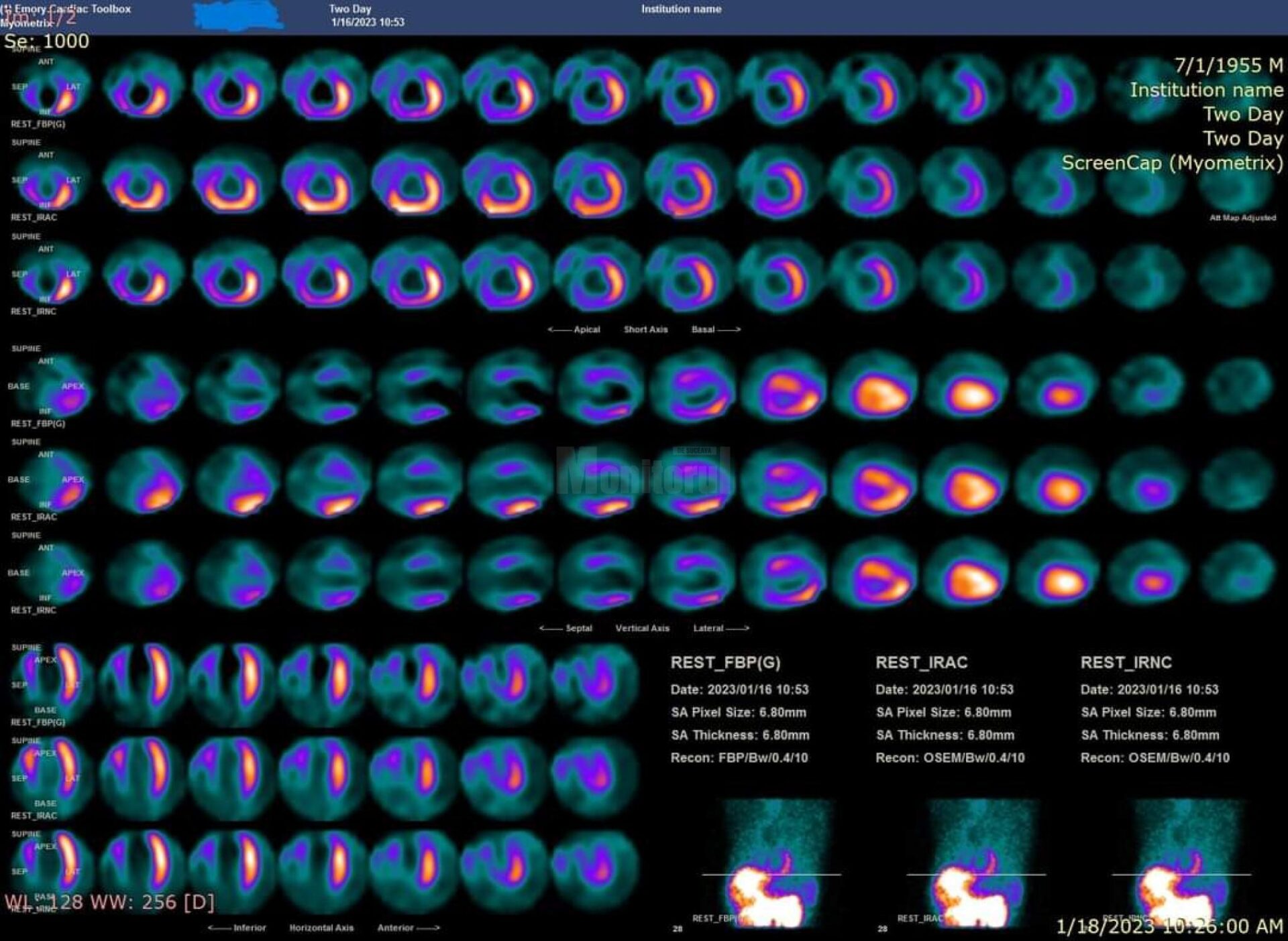
Medicii suceveni au evaluat un pacient cu antecedente de boală coronariană care are două stenturi, la care s-a evidențiat un defect de perfuzie sugestiv pentru infarct antero-inferior sechelar și un pacient cu antecedente de miocardită, la care s-a evidențiat un minim defect de perfuzie indus de efort, reversibil în condiții de repaus.
Imagistica de perfuzie miocardică identifică zonele în care fluxul relativ redus se asociază cu un proces patologic – ischemie sau necroză. Cu ajutorul acestei tehnici, perfuzia inimii poate fi măsurată atât în repaus, cât și în condiții de efort.
Dr. Teodorovici a arătat că indicațiile majore ale scintigrafiei de perfuzie sunt stabilite de către medicul cardiolog, pentru a constata funcționalitatea mușchiului inimii și gradul de oxigenare, în vederea stabilirii oportunității unei intervenții sau pentru evaluarea perfuziei cardiace postintervenție (angioplastie, bypass etc).
„Detectarea în timp util a tulburărilor de perfuzie ale inimii prin scintigrafia miocardică poate ajuta la prevenirea unui infarct, indicând necesitatea începerii unui tratament medicamentos, dilatare vasculară sau intervenție chirurgicală de bypass. Dacă în urma acestei proceduri nu există constatări patologice, riscul pentru un eveniment cardiac în următorii 5 ani este mai mic de 1%, lucru confirmat de mai multe studii clinice”, a precizat dr. Teodorovici.





