Tuberculoza și bolile cu transmitere sexuală și-au redus numărul victimelor. Anul trecut, comparativ cu 2006, a fost mai puțin bogat în astfel de afecțiuni, greu de ținut sub control. O statistică prezentată miercuri, în conferință de presă, de directorul executiv al Autorității de Sănătate Publică (ASP) Suceava, dr. Odette Nicolae, arată că numărul îmbolnăvirilor prin TBC, sifilis și gonoree a cunoscut o curbă descendentă.
În schimb, potrivit aceleiași surse, a crescut incidența unor boli cronice, precum diabet zaharat, hipertensiune arterială, cardiopatie ischemică, afecțiuni cerebro-vasculare, ulcer, ciroză și hepatită cronică.
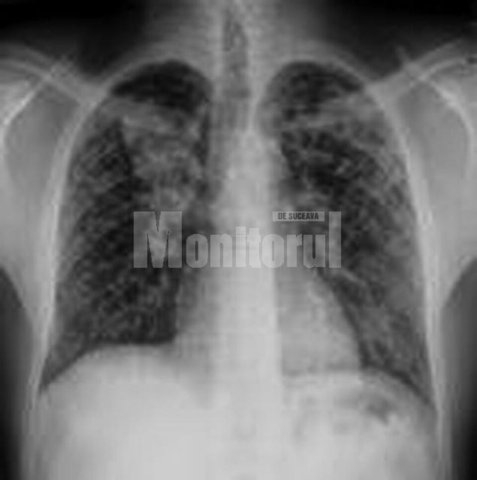
Astfel, în 2007, numărul cazurilor noi de tuberculoză a fost de 538, în scădere față de 2006, când au fost contabilizate 594.
Îmbolnăvirile prin sifilis depistate și declarate au urmat aceeași evoluție descendentă, respectiv 194 de cazuri în 2007 și 212 în 2006. În cadrul acțiunii de supraveghere și control a infecțiilor cu transmitere sexuală, 2.296 de gravide au fost testate, anul trecut, pentru sifilis, demonstrându-se că 18 dintre ele sunt bolnave și au nevoie de tratament gratuit.
În 2007, au fost investigate pentru depistarea sifilisului congenital 29 de mame și pruncii lor, dar nu a fost confirmat nici un caz de boală.
O scădere s-a înregistrat și în ceea ce privește gonoreea, de la 132 de îmbolnăviri în 2006, la 53 anul trecut.
În ceea ce privește prevalența unor boli cronice în rândul populației județului, în 2007, se remarcă o creștere în cazul diabetului zaharat (2,15 la suta de locuitori, față de 1,88 la suta de locuitori în 2006), hipertensiunea arterială (8,49 față de 7,79 în 2006), cardiopatiile ischemice (4,60 față de 4,38), afecțiunile cerebro-vasculare (0,82 față de 0,69), ulcerul (1,58 față de 1,53), cirozele și hepatitele cronice (1,27 față de 1,18), tulburările mintale (1,75 față de 1,61).






